8時半〜12時/13時〜16時
休:木・日・祝
再診で治療をご希望の方は電話でお問い合わせください
さいたま市大宮区・氷川参道の近くにある歯医者さん
土曜8:30〜12:00/13:00〜16:00
休診:木曜・日曜・祝日
問診票の事前記入で当日の受付がよりスムーズに!
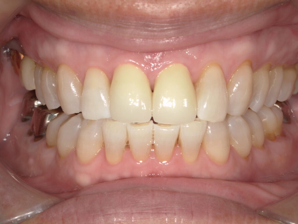
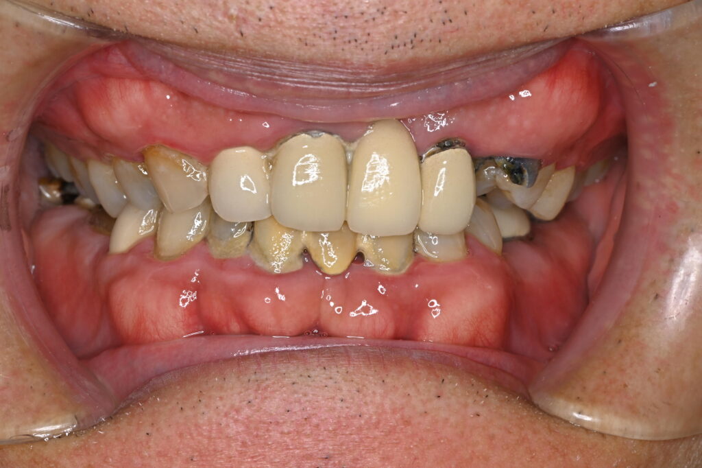
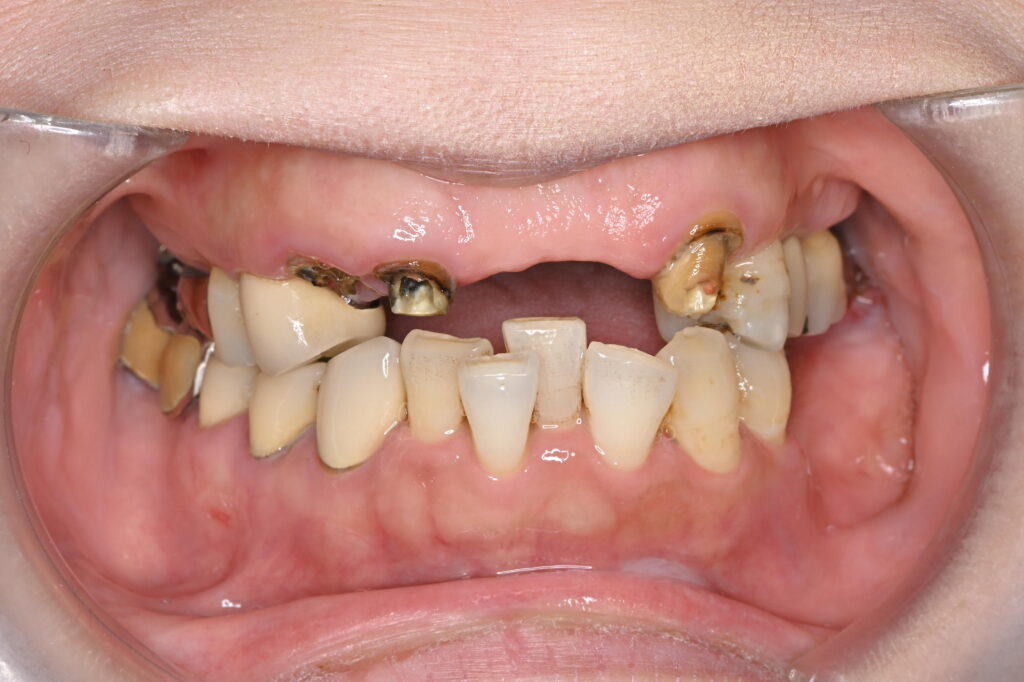
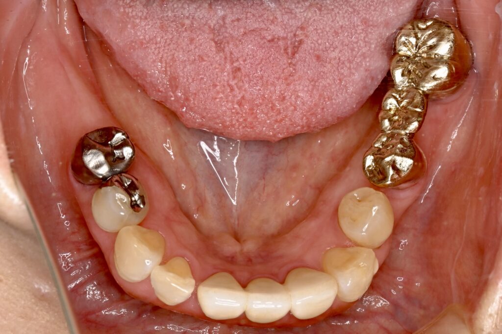
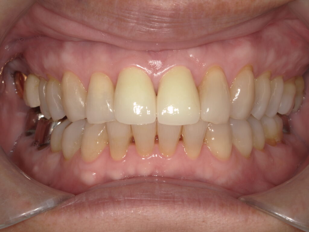
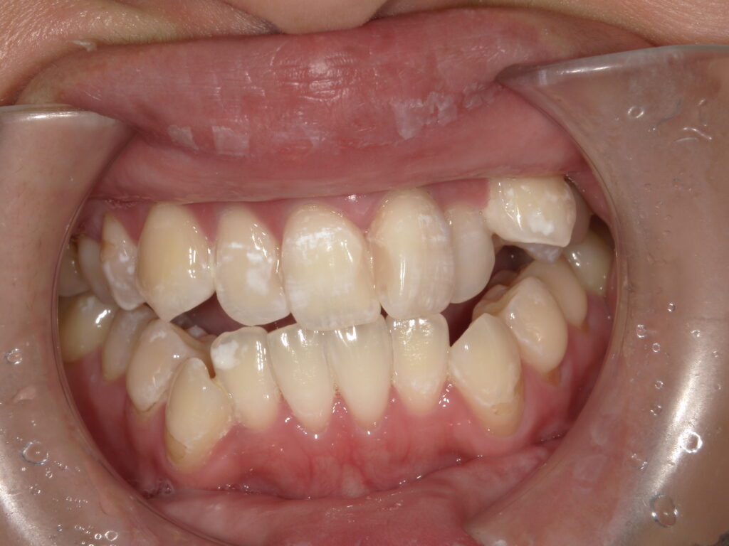
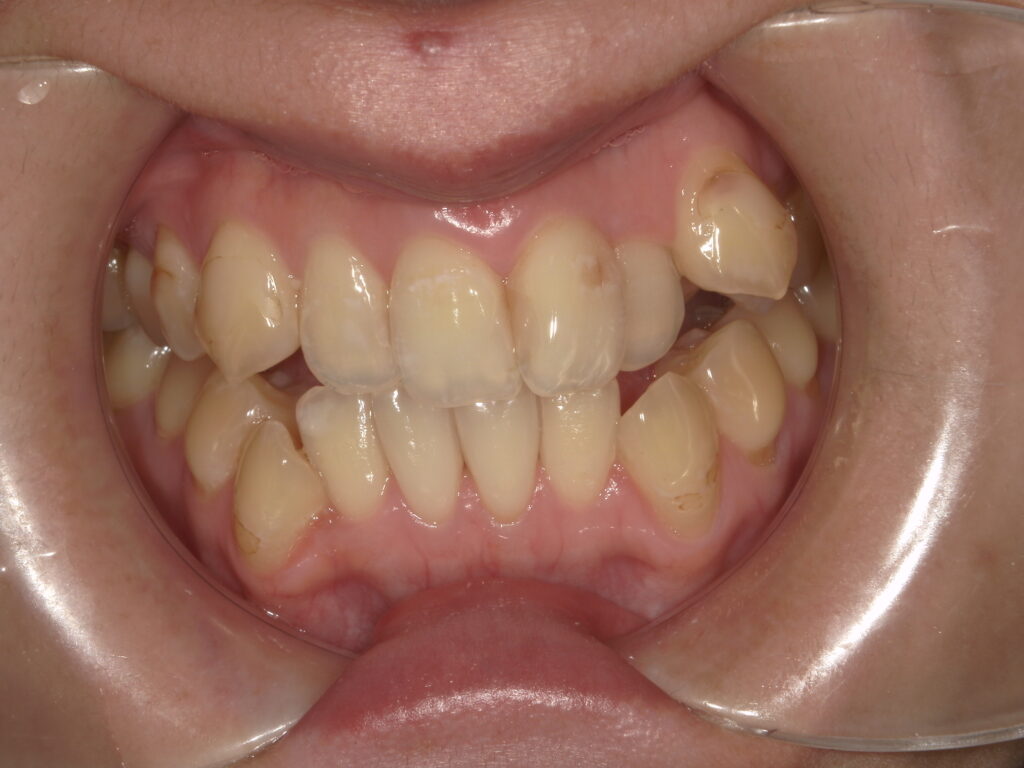
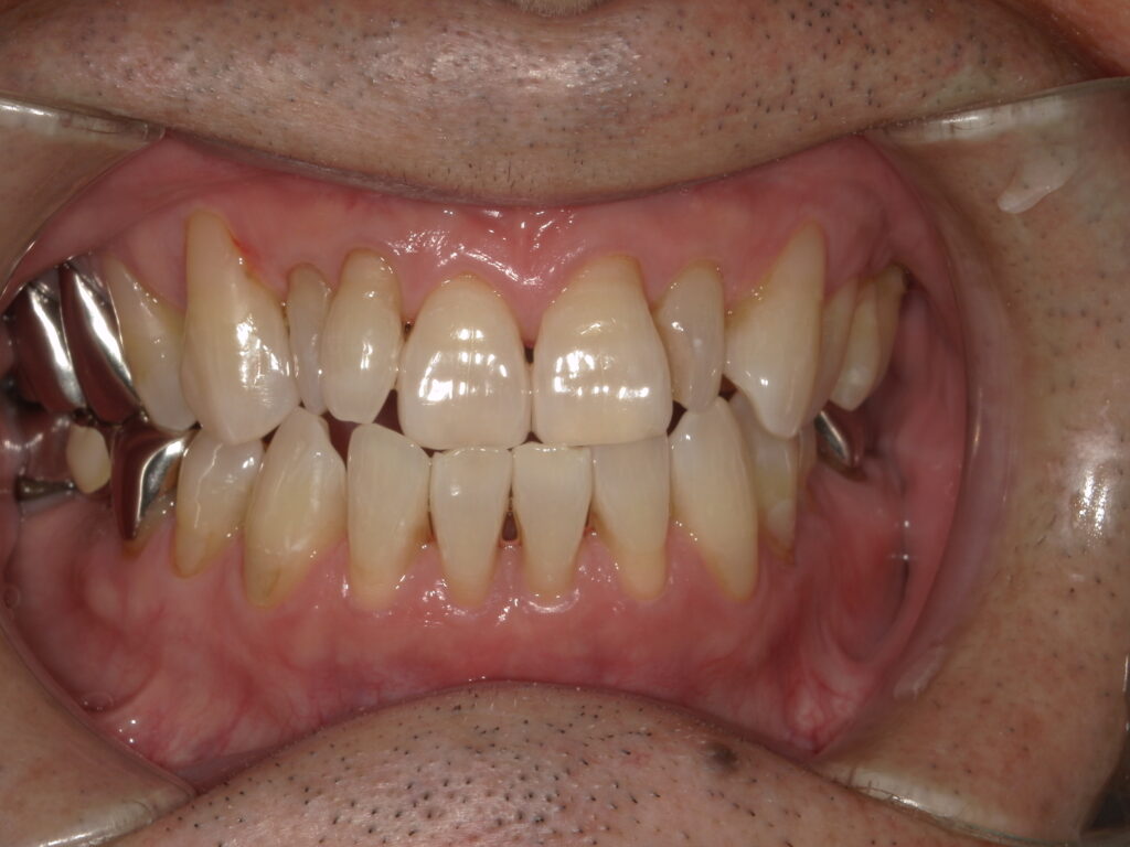
症例集
治療別で症例を探す
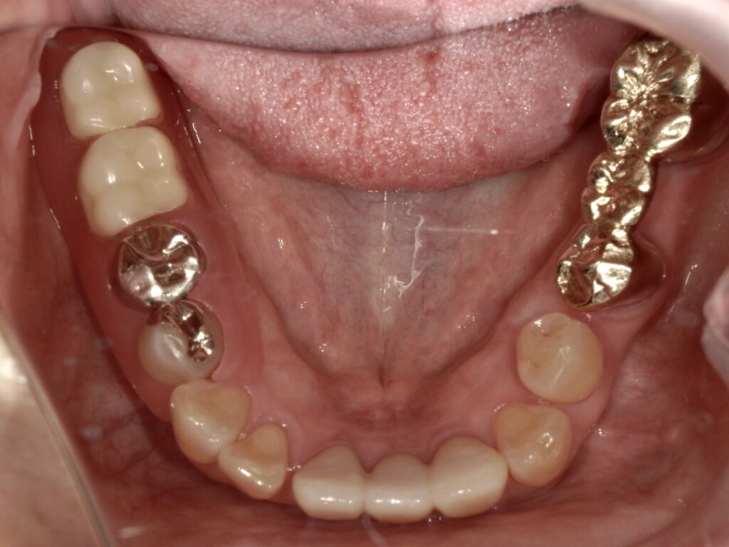
入れ歯
治療方法:コンフォートでノンクラスプ義歯 …続きを見る
詳しく見る
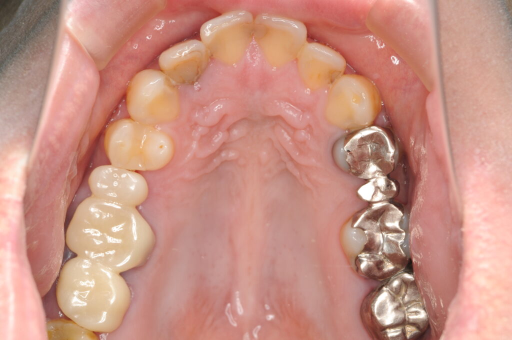
詰め物・被せ物治療
治療方法:メタルボンド単冠で4本 …続きを見る
ブリッジ
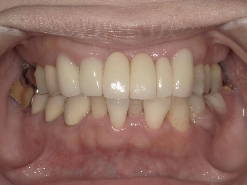
治療方法:左上3456 モノリシックジルコニアブリッジ …続きを見る
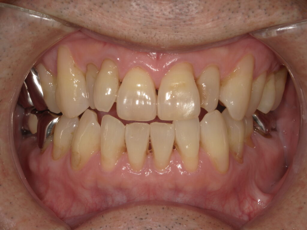
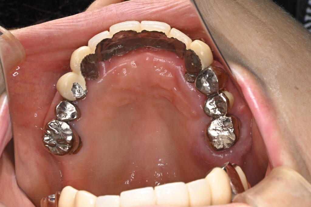
治療方法:同じ方は不可能なので、モノリシックジルコニアで右上6~左上6の12本ブリッジへ …続きを見る
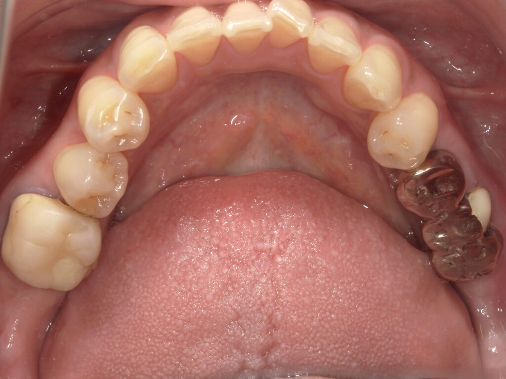
治療方法:最後方臼歯なので丈夫なモノリシックジルコニアを使用 …続きを見る
治療方法:モノリシックジルコニアブリッジ …続きを見る
RECRUITMENT
採用情報