
さいたま市大宮区・氷川参道の近くにある歯医者さん
再診で治療をご希望の方は
電話でお問い合わせください
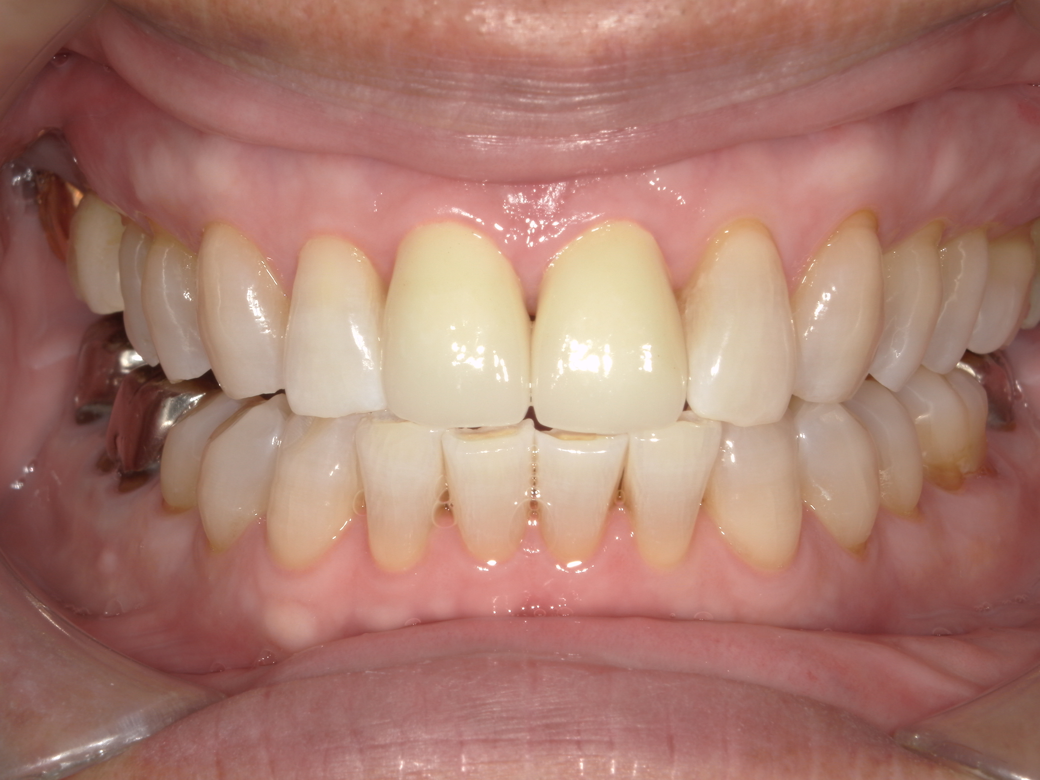
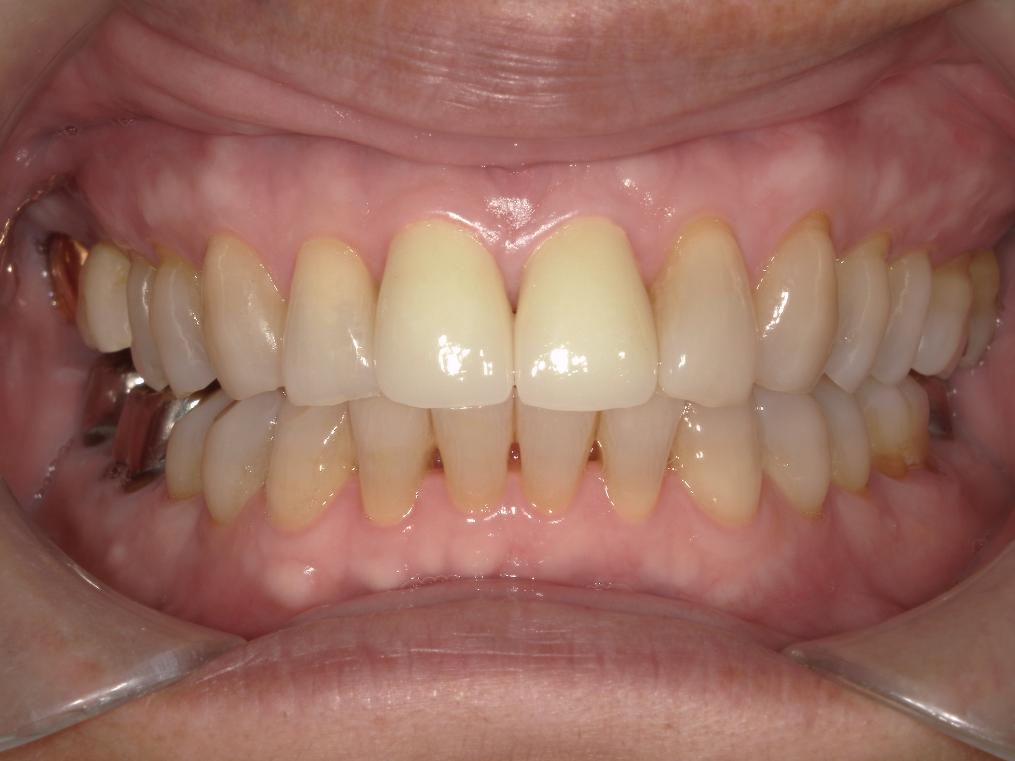
症例集


年齢・性別 |
60代 女性 |
|---|---|
主訴 |
被せ物と自分の歯の色を近づけたい |
治療方法 |
オフィスホワイトニング |
費用 |
¥25000 |
メリット |
自分の歯が白くなり被せ物が目立ちにくくなる |
デメリット・ |
しみる可能性がある 色が後戻りする可能性がある |