
さいたま市大宮区・氷川参道の近くにある歯医者さん
再診で治療をご希望の方は
電話でお問い合わせください
症例集


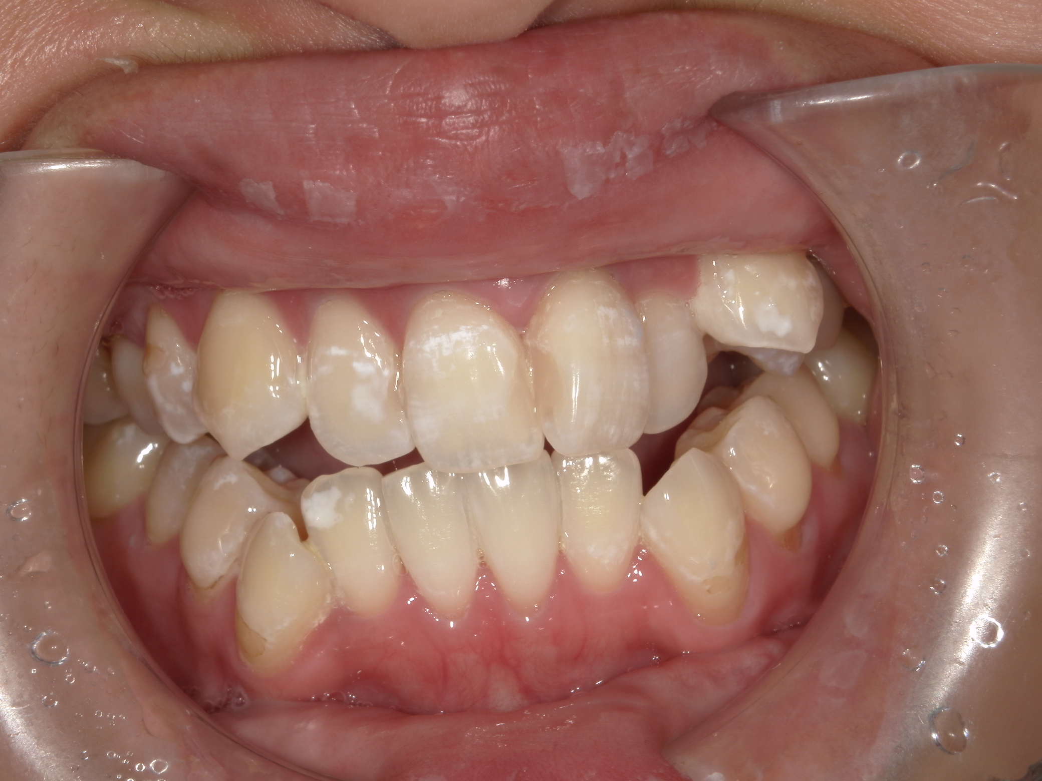
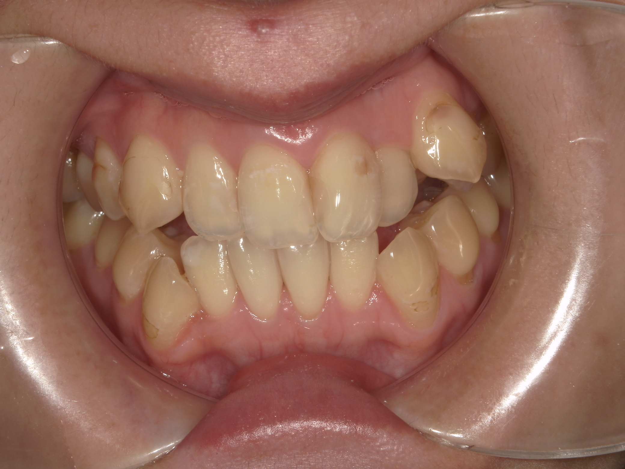
年齢・性別 |
30代女性 |
|---|---|
主訴 |
仕事上、人前で話す機会が多く、清潔感のある印象にしたい |
治療方法 |
ディアルホワイトニング (オフィスホワイトニング2回目) |
費用 |
35000円 |
メリット |
口元の白くなる |
デメリット・ |
プラスチックは白くならないので白さの均一さが異なる |