8時半〜12時/13時〜16時
休:木・日・祝
再診で治療をご希望の方は電話でお問い合わせください
さいたま市大宮区・氷川参道の近くにある歯医者さん
土曜8:30〜12:00/13:00〜16:00
休診:木曜・日曜・祝日
問診票の事前記入で当日の受付がよりスムーズに!
症例集
ラミネートベニア
詰め物・被せ物治療
治療方法:e-max CADでのベニア …続きを見る
詳しく見る
メタルボンドを使用したむし歯治療
治療方法:メタルボンド単冠で4本 …続きを見る
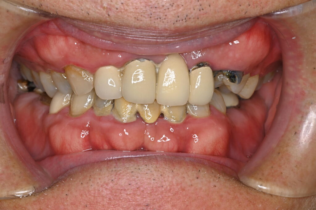
奥歯のむし歯による被せ物治療
治療方法:最後方臼歯なので丈夫なモノリシックジルコニアを使用 …続きを見る
奥歯の銀歯をモノリシックジルコニアで白く改善
治療方法:咬合状態などから、丈夫なジルコニアで製作 …続きを見る
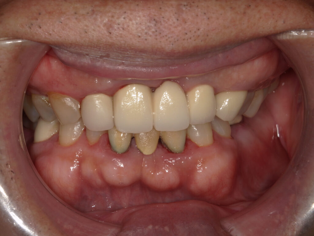
ジルコニアセラミックによる前歯3本の審美治療
治療方法:ジルコニアセラミック(左上1,右上1・2 ) …続きを見る
RECRUITMENT
採用情報