
さいたま市大宮区・氷川参道の近くにある歯医者さん
再診で治療をご希望の方は
電話でお問い合わせください
症例集


年齢・性別 |
50代 女性 |
|---|---|
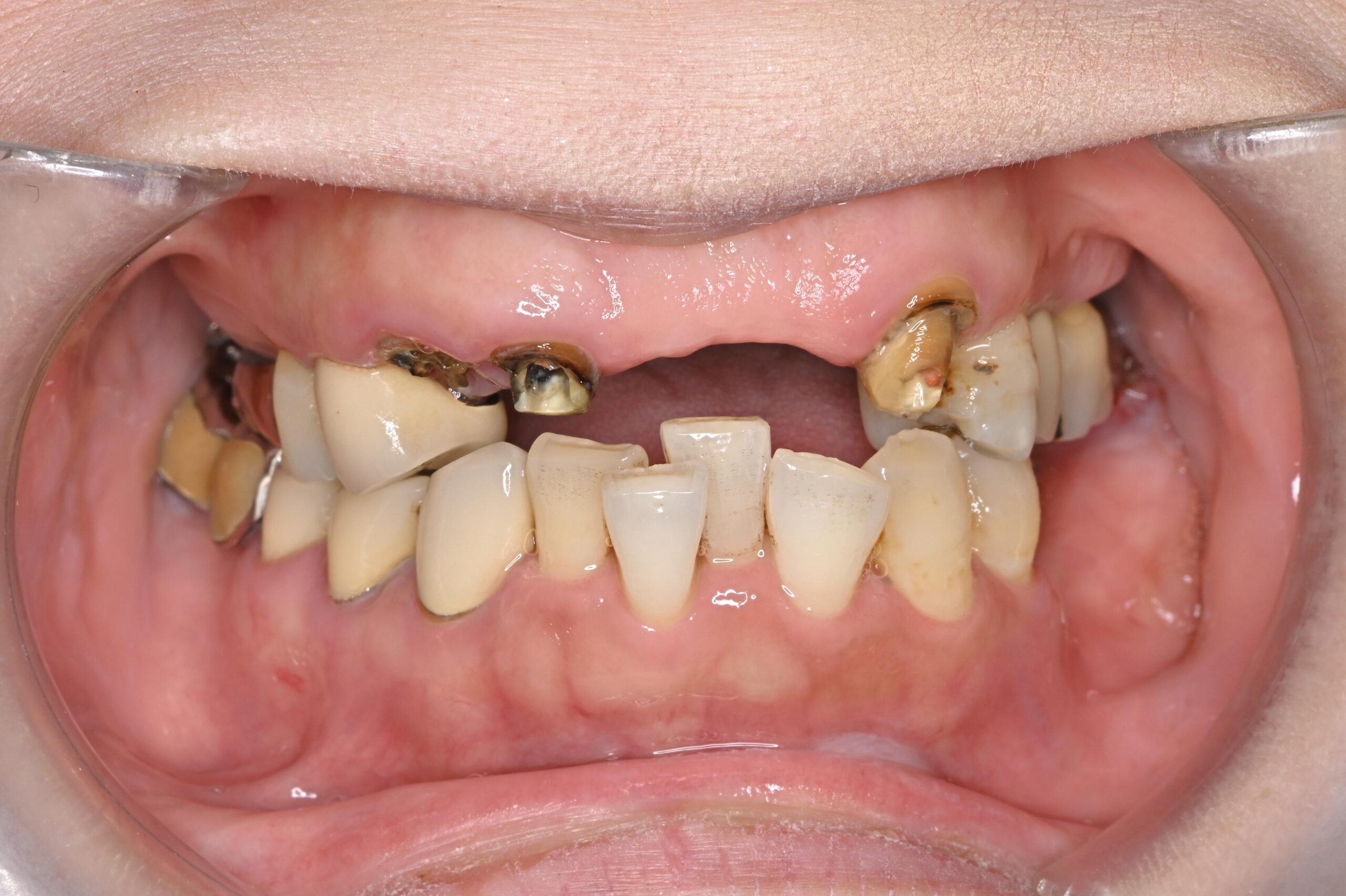
主訴 |
30年ほど前に被せたメタルボンドブリッジが、合わなくなって脱離した。 装着当初から色や形などもずっと気になっていたので、今回はよく相談したいと来院した。 |
治療方法 |
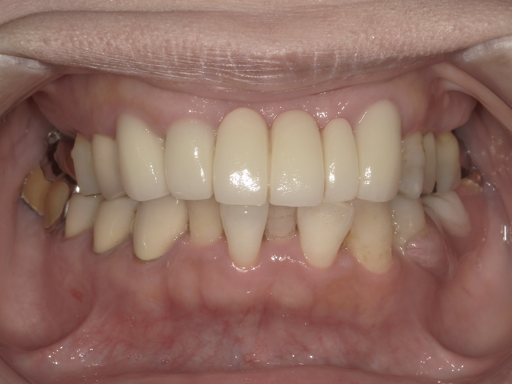
可能なら少し内側に入れたいとの希望なので、メタルフリーならご希望に添いやすいかもとご説明し、ジルコニアセラミックブリッジで製作した。 |
費用 |
121,000円 ×6本 726,000円 (価格は税込です) |
メリット |
・金属の内張りがないので、比較的薄く仕上げたり長さを短く設定しても目指す色合いに完成させやすい。 ・ジルコニアの表面にセラミックを焼き付けているので、自然で美しいツヤや色合いに仕上がる。 |
デメリット・ |
・セラミック類は材料の特性として、欠けたり割れたりするリスクはある。 ・高額である。 |