8時半〜12時/13時〜16時
休:木・日・祝
再診で治療をご希望の方は電話でお問い合わせください
さいたま市大宮区・氷川参道の近くにある歯医者さん
土曜8:30〜12:00/13:00〜16:00
休診:木曜・日曜・祝日
問診票の事前記入で当日の受付がよりスムーズに!
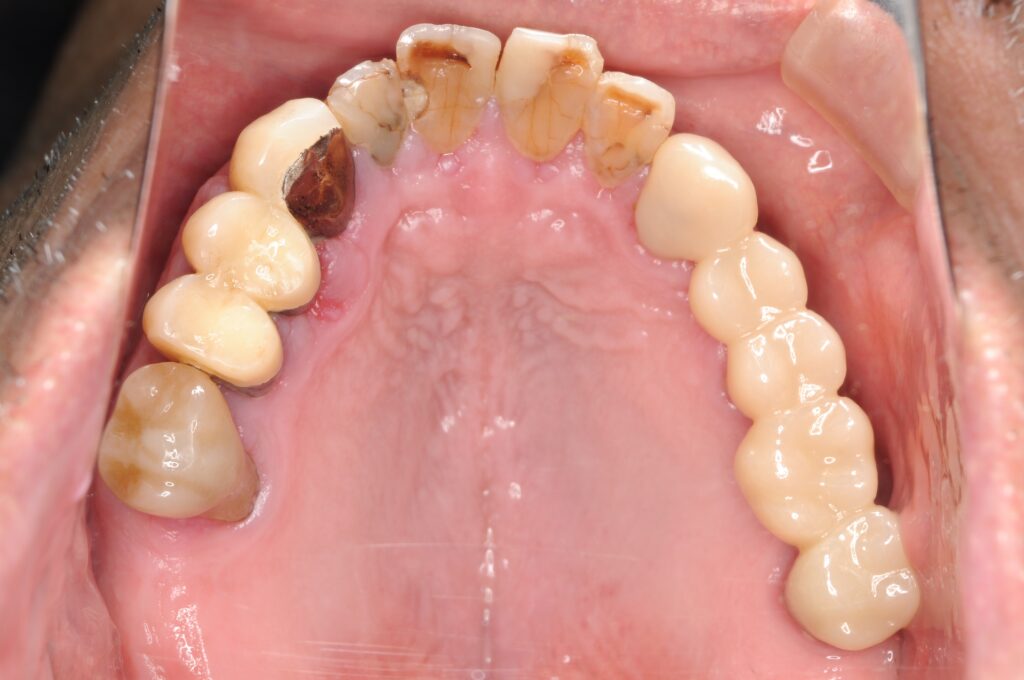
症例集
ジルコニアセラミックによる前歯6本ブリッジ
ブリッジ
詰め物・被せ物治療
治療方法:可能なら少し内側に入れたいとの希望なので、メタルフリーならご希望に添いやすいかもとご説明し、ジルコニアセラミックブリッジ …続きを見る
詳しく見る
5本モノリシックジルコニアブリッジ
治療方法:左上34567モノリシックジルコニアブリッジ …続きを見る
モノリシックジルコニアで12本ブリッジ
治療方法:同じ方は不可能なので、モノリシックジルコニアで右上6~左上6の12本ブリッジへ …続きを見る
欠損部分と銀歯をモノリシックジルコニアブリッジへ
治療方法:モノリシックジルコニアブリッジ …続きを見る
欠損歯を接着カンチレバーブリッジで改善
治療方法:接着カンチレバーブリッジ 隣の真ん中の前歯の裏側に接着する形での2本ブリッジです …続きを見る
カンチレバーブリッジによる欠損歯の修復
治療方法:大臼歯(左上6)からの、モノリシックジルコニアカンチレバーブリッジ 左上56、2本のブリッジです …続きを見る
RECRUITMENT
採用情報