
さいたま市大宮区・氷川参道の近くにある歯医者さん
再診で治療をご希望の方は
電話でお問い合わせください
症例集


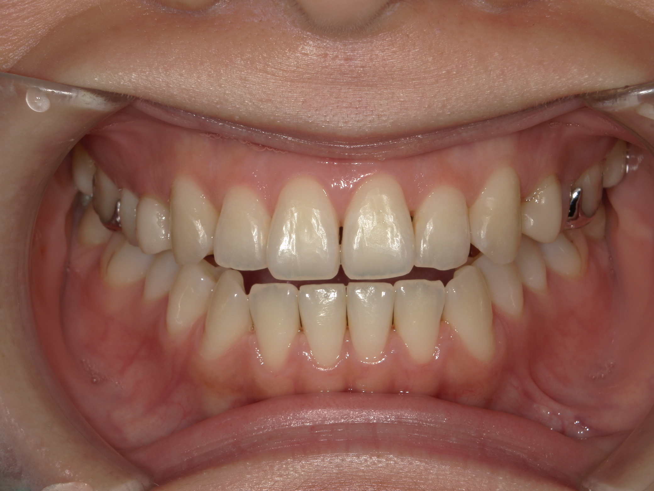
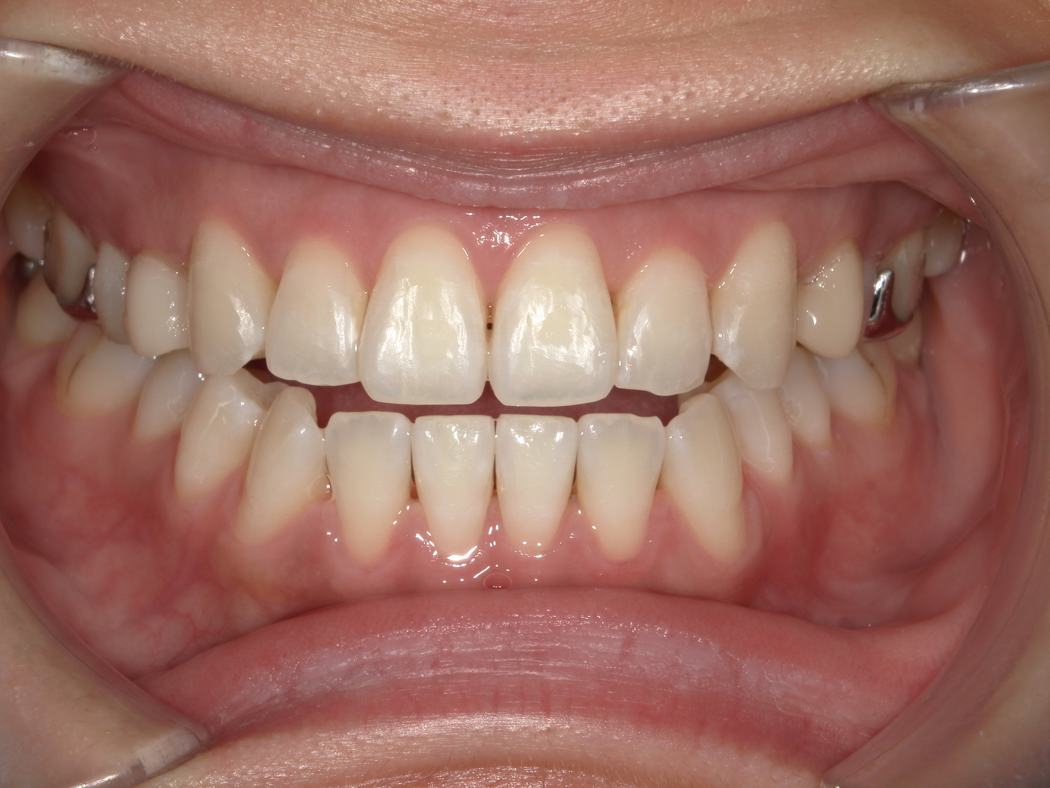
年齢・性別 |
20代 女性 |
|---|---|
主訴 |
マスクを外す機会が増えて歯の色が気になるようになった。 |
治療方法 |
オフィスホワイトニング1回 |
費用 |
25000円 |
メリット |
歯が白くなることで口元に自信をもてる。 |
デメリット・ |
痛みやしみることがあるが通常1日で治る。 色戻りすることがある。 |