さいたま市大宮区の歯医者 大宮なりた歯科医院の症例集

診療時間
9:0013:00
14:3014:1518:3018:00

8時半〜12時/13時〜16時

休:木・日・祝

ご予約・お問い合わせ
048-645-0005

再診で治療をご希望の方は
電話でお問い合わせください

さいたま市大宮区・氷川参道の近くにある歯医者さん

大宮なりた歯科医院

〒330-0803
埼玉県さいたま市大宮区高鼻町1丁目158
診療時間
9:0013:00
14:3014:1518:3018:00

土曜8:30〜12:00/13:00〜16:00

休診:木曜・日曜・祝日

ご予約・お問い合わせ
048-645-0005

再診で治療をご希望の方は
電話でお問い合わせください

問診票の事前記入で
当日の受付がよりスムーズに!

CASE

症例集

  • *
  • *

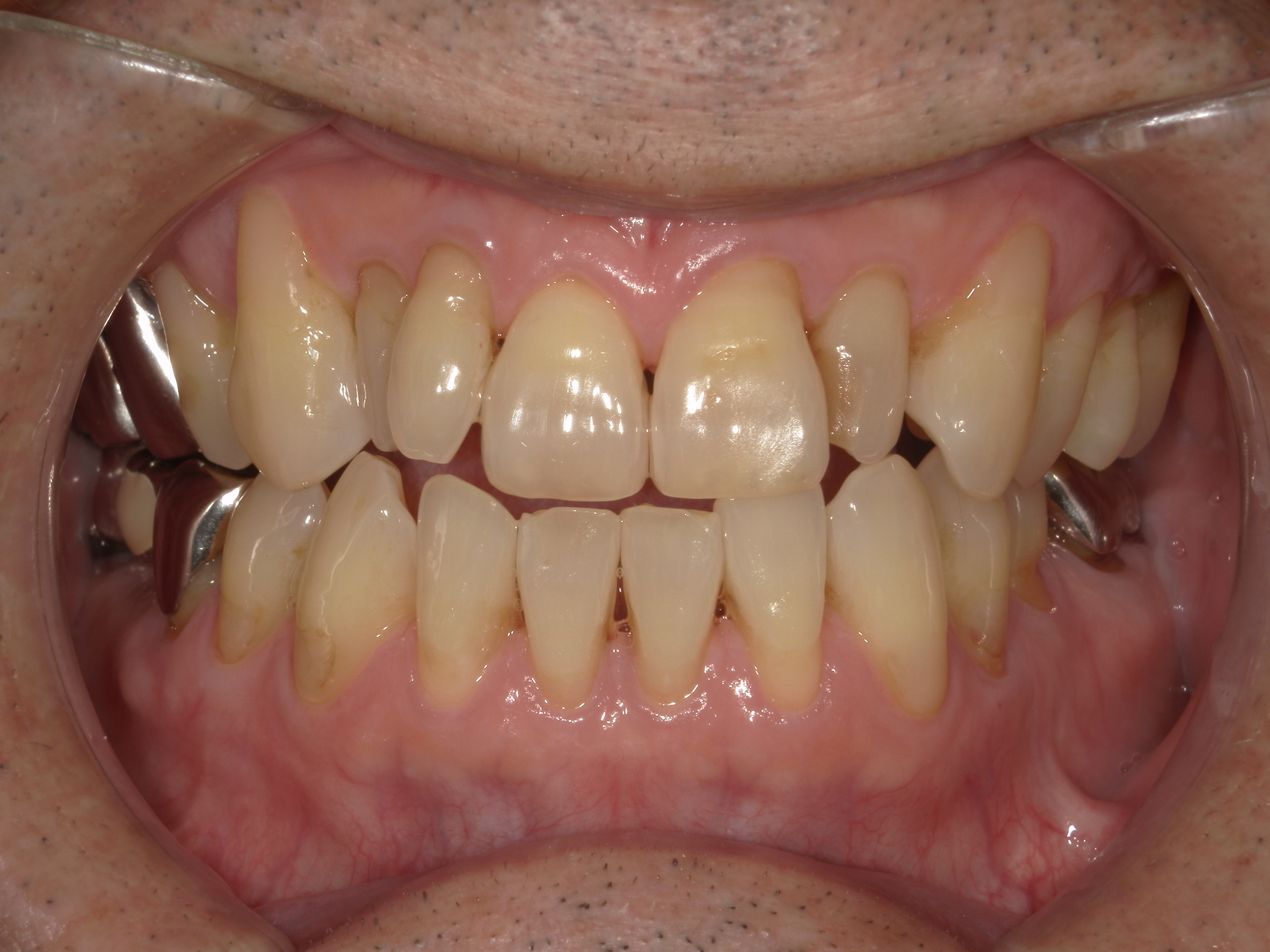
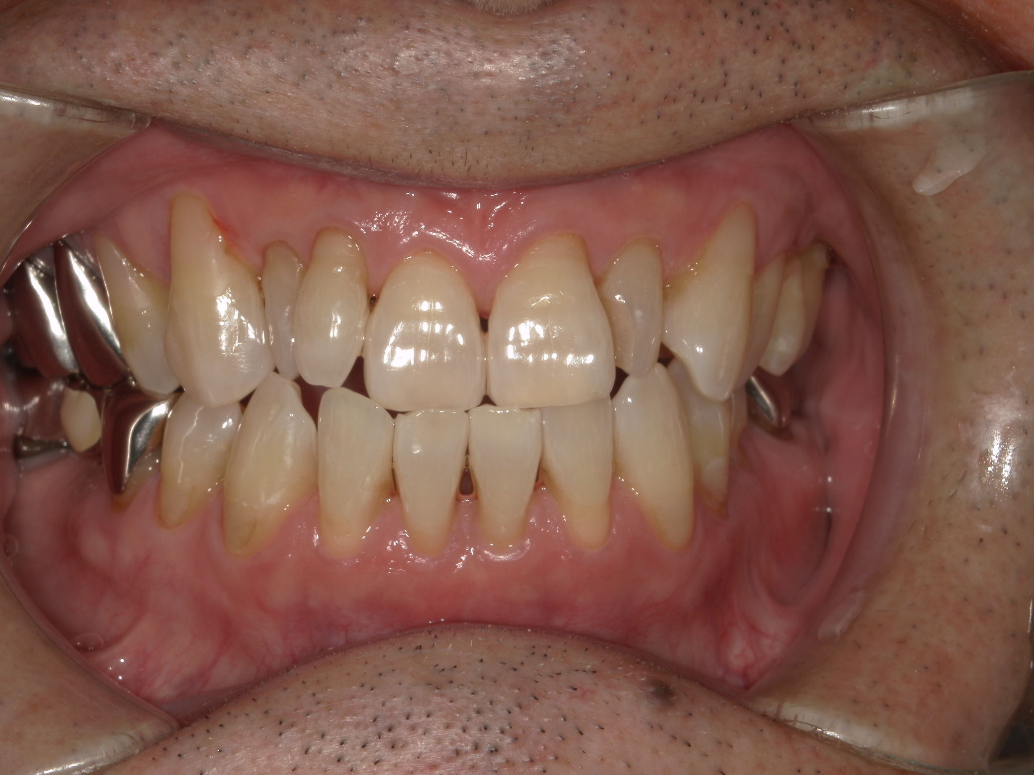
ホワイトニング

ホワイトニングの症例

年齢・性別

70代   男性

主訴

加齢により歯の黄ばみが気になった為改善したい

治療方法

オフィスホワイトニング1回

費用

25000円

メリット

歯が白くなる

デメリット・
副作用

痛みがでることやしみたりすることがある。