
さいたま市大宮区・氷川参道の近くにある歯医者さん
再診で治療をご希望の方は
電話でお問い合わせください
症例集


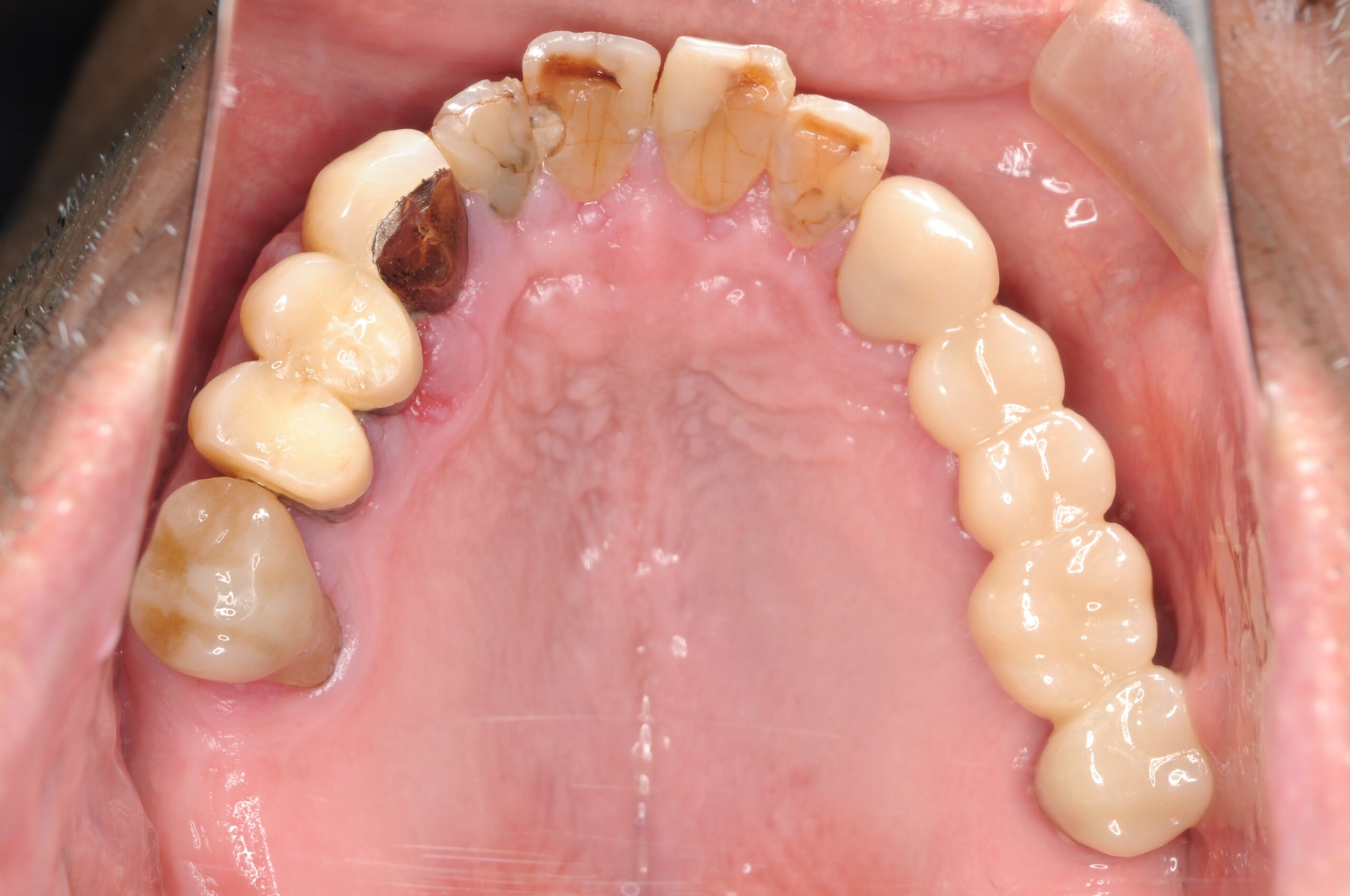
年齢・性別 |
70代/男性 |
|---|---|
主訴 |
左上の元々のブリッジが破折したのでやり直しになった |
治療方法 |
左上34567モノリシックジルコニアブリッジ |
費用 |
モノリシックジルコニア 77,000円×5本 |
メリット |
|
デメリット・ |
|