
さいたま市大宮区・氷川参道の近くにある歯医者さん
再診で治療をご希望の方は
電話でお問い合わせください
症例集


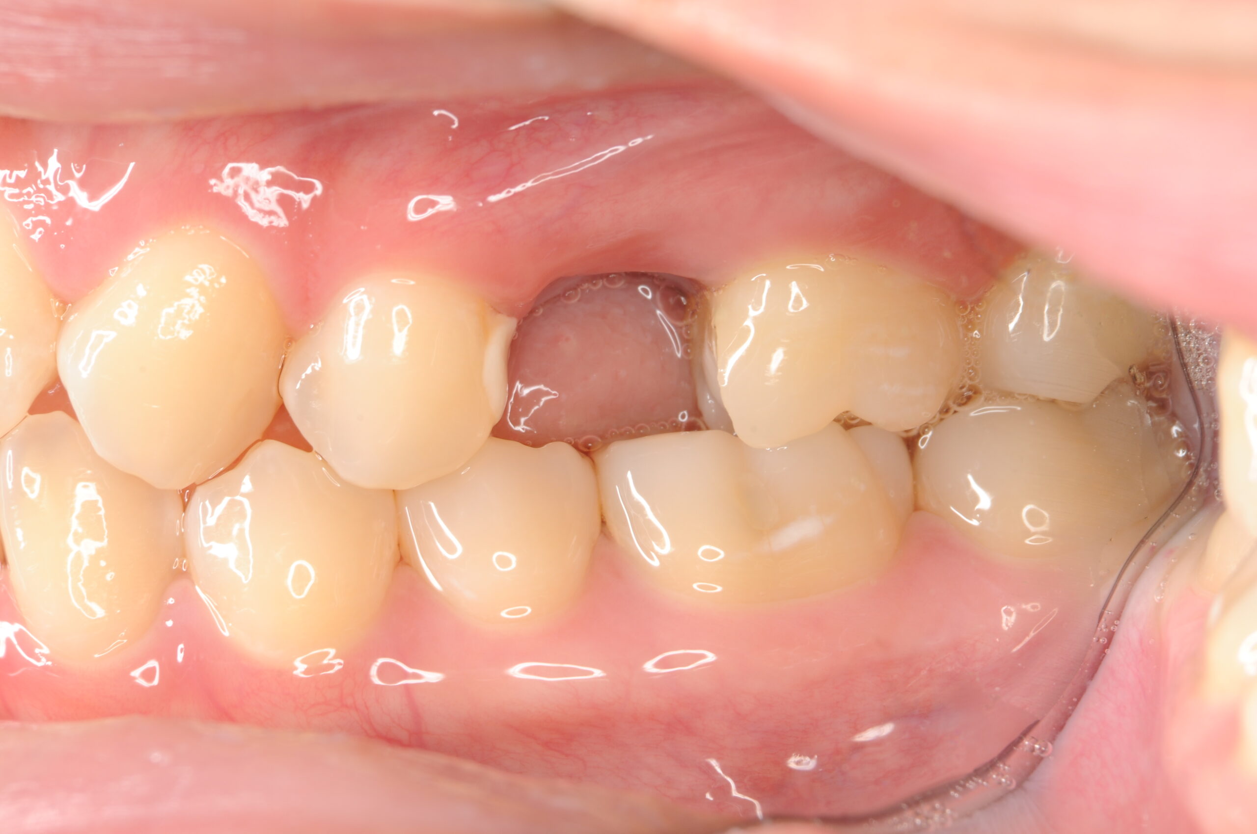
年齢・性別 |
20代/女性 |
|---|---|
主訴 |
右上5先天的欠損のため、欠損部を治したいと来院 |
治療方法 |
大臼歯(左上6)からの、モノリシックジルコニアカンチレバーブリッジ 左上56、2本のブリッジです |
費用 |
モノリシックジルコニア 77,000円×2本 |
メリット |
|
デメリット・ |
|