
さいたま市大宮区・氷川参道の近くにある歯医者さん
再診で治療をご希望の方は
電話でお問い合わせください
症例集


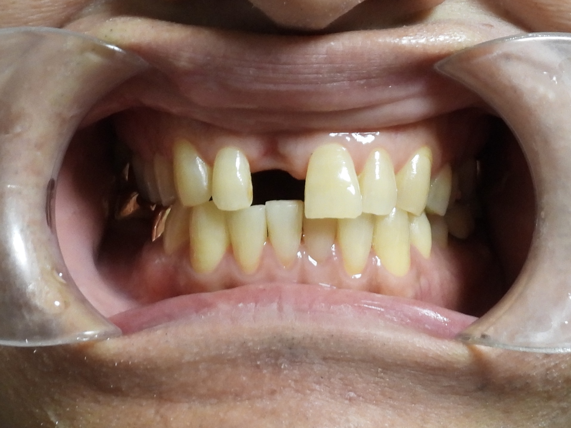
年齢・性別 |
40代/男性 |
|---|---|
主訴 |
右上1歯根破折で抜歯 |
治療方法 |
接着カンチレバーブリッジ 隣の真ん中の前歯の裏側に接着する形での2本ブリッジです |
費用 |
接着部 モノリシックジルコニア 77,000円 |
メリット |
|
デメリット・ |
|