
さいたま市大宮区・氷川参道の近くにある歯医者さん
再診で治療をご希望の方は
電話でお問い合わせください
症例集


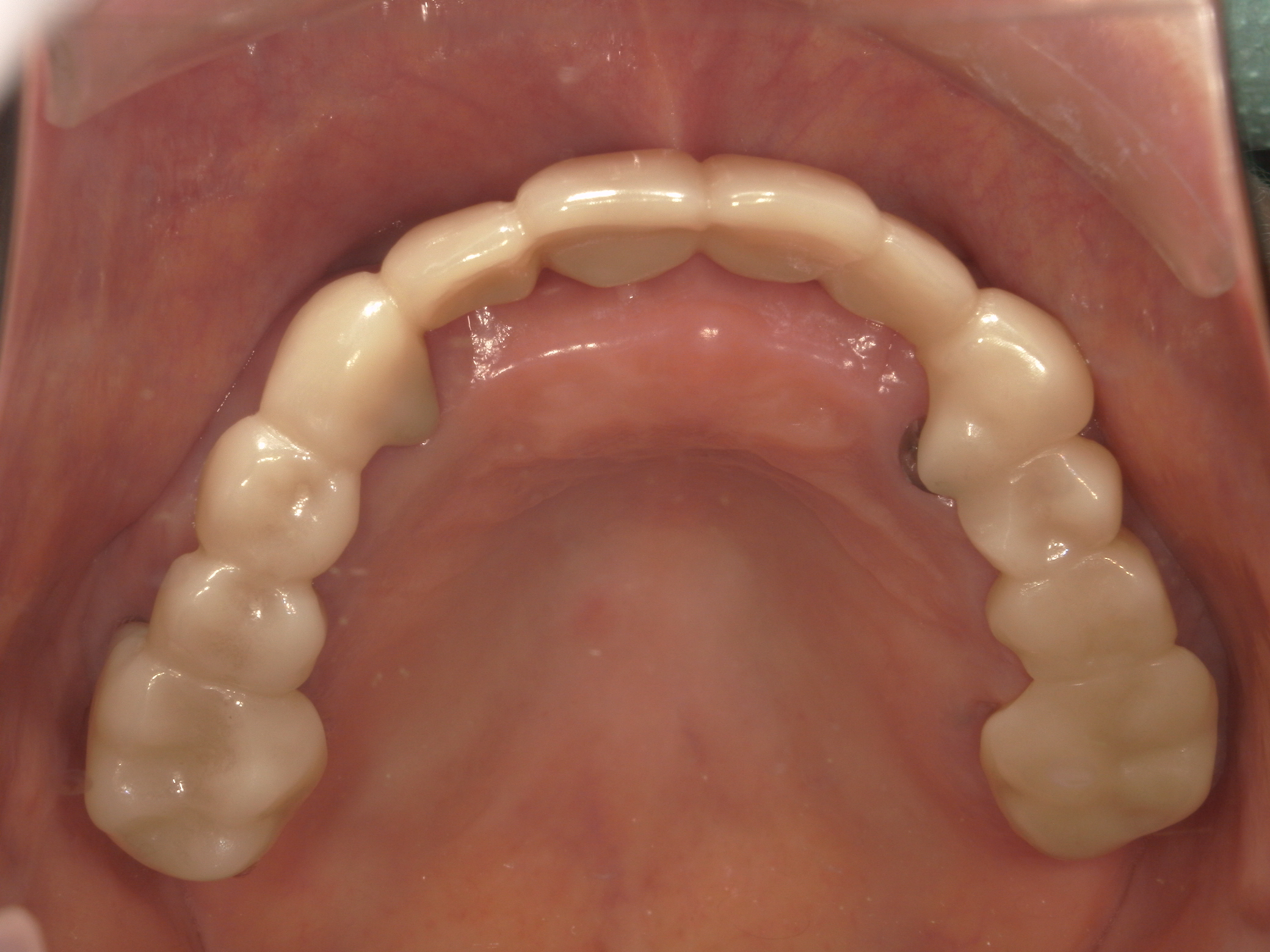
年齢・性別 |
70代/女性 |
|---|---|
主訴 |
元々のブリッジが外れかけていた |
治療方法 |
同じ方は不可能なので、モノリシックジルコニアで右上6~左上6の12本ブリッジへ |
費用 |
モノリシックジルコニア 77,000円×12本 |
メリット |
|
デメリット・ |
|