さいたま市大宮区の歯医者 大宮なりた歯科医院の症例集

診療時間
9:0013:00
14:3014:1518:3018:00

8時半〜12時/13時〜16時

休:木・日・祝

ご予約・お問い合わせ
048-645-0005

再診で治療をご希望の方は
電話でお問い合わせください

さいたま市大宮区・氷川参道の近くにある歯医者さん

大宮なりた歯科医院

〒330-0803
埼玉県さいたま市大宮区高鼻町1丁目158
診療時間
9:0013:00
14:3014:1518:3018:00

土曜8:30〜12:00/13:00〜16:00

休診:木曜・日曜・祝日

ご予約・お問い合わせ
048-645-0005

再診で治療をご希望の方は
電話でお問い合わせください

問診票の事前記入で
当日の受付がよりスムーズに!

CASE

症例集

  • *
  • *

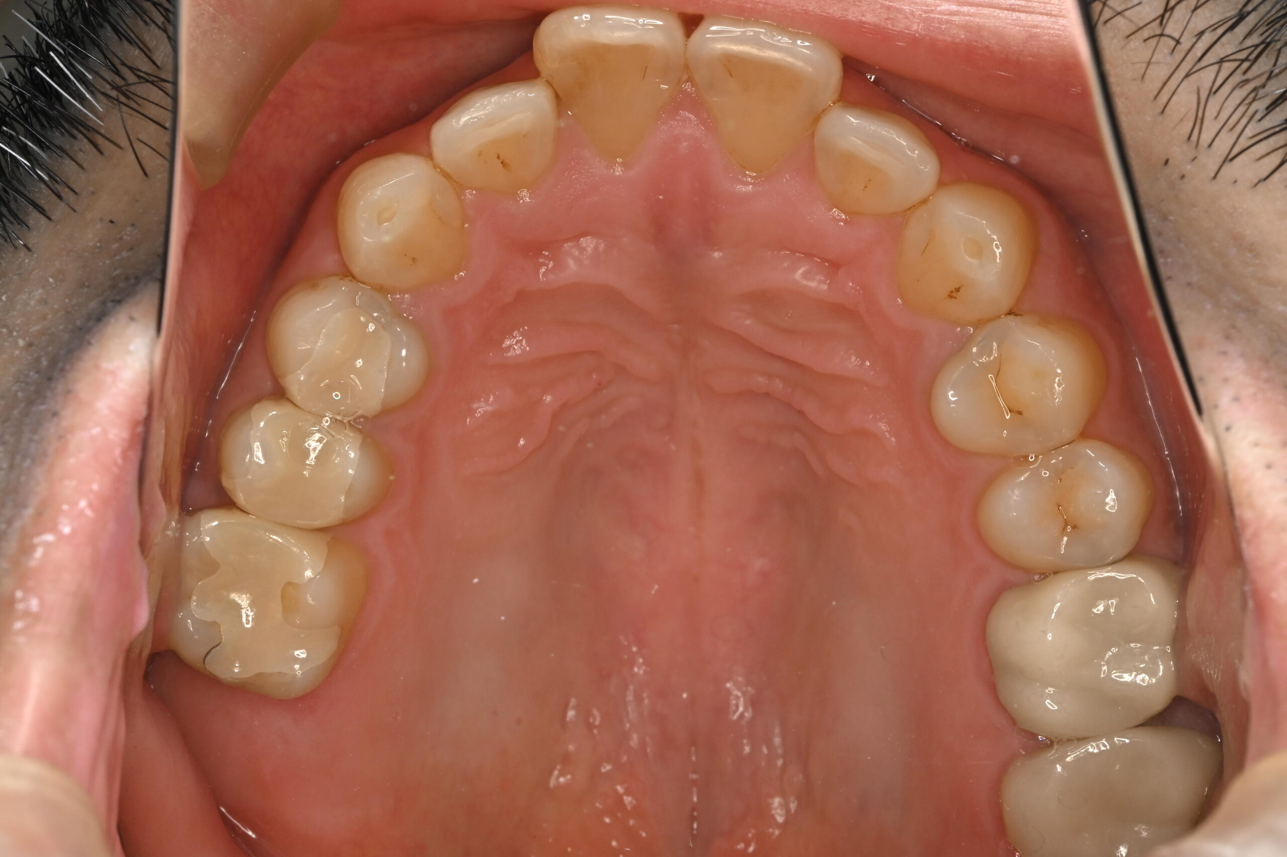
詰め物・被せ物治療

奥歯の銀歯をモノリシックジルコニアで白く改善

年齢・性別

30代/男性

主訴

左上5・6を銀歯を白くしたい

治療方法

咬合状態などから、丈夫なジルコニアで製作

費用

モノリシックジルコニア 77,000円×2本 
合計:154,000円
*価格は税込です

メリット

  • 補綴装置が白くなるので、口腔内が自然色になる

デメリット・
副作用

  • セラミックの丈夫さを上げるため厚く製作する必要があるため、メタルからのやり変えは歯を削る量が多くなる