さいたま市大宮区の歯医者 大宮なりた歯科医院の症例集

診療時間
9:0013:00
14:3014:1518:3018:00

8時半〜12時/13時〜16時

休:木・日・祝

ご予約・お問い合わせ
048-645-0005

再診で治療をご希望の方は
電話でお問い合わせください

さいたま市大宮区・氷川参道の近くにある歯医者さん

大宮なりた歯科医院

〒330-0803
埼玉県さいたま市大宮区高鼻町1丁目158
診療時間
9:0013:00
14:3014:1518:3018:00

土曜8:30〜12:00/13:00〜16:00

休診:木曜・日曜・祝日

ご予約・お問い合わせ
048-645-0005

再診で治療をご希望の方は
電話でお問い合わせください

問診票の事前記入で
当日の受付がよりスムーズに!

CASE

症例集

  • *
  • *

詰め物・被せ物治療

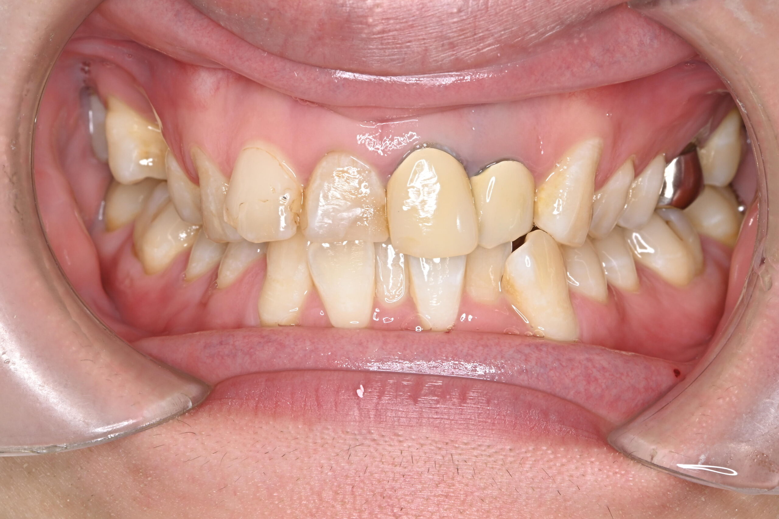
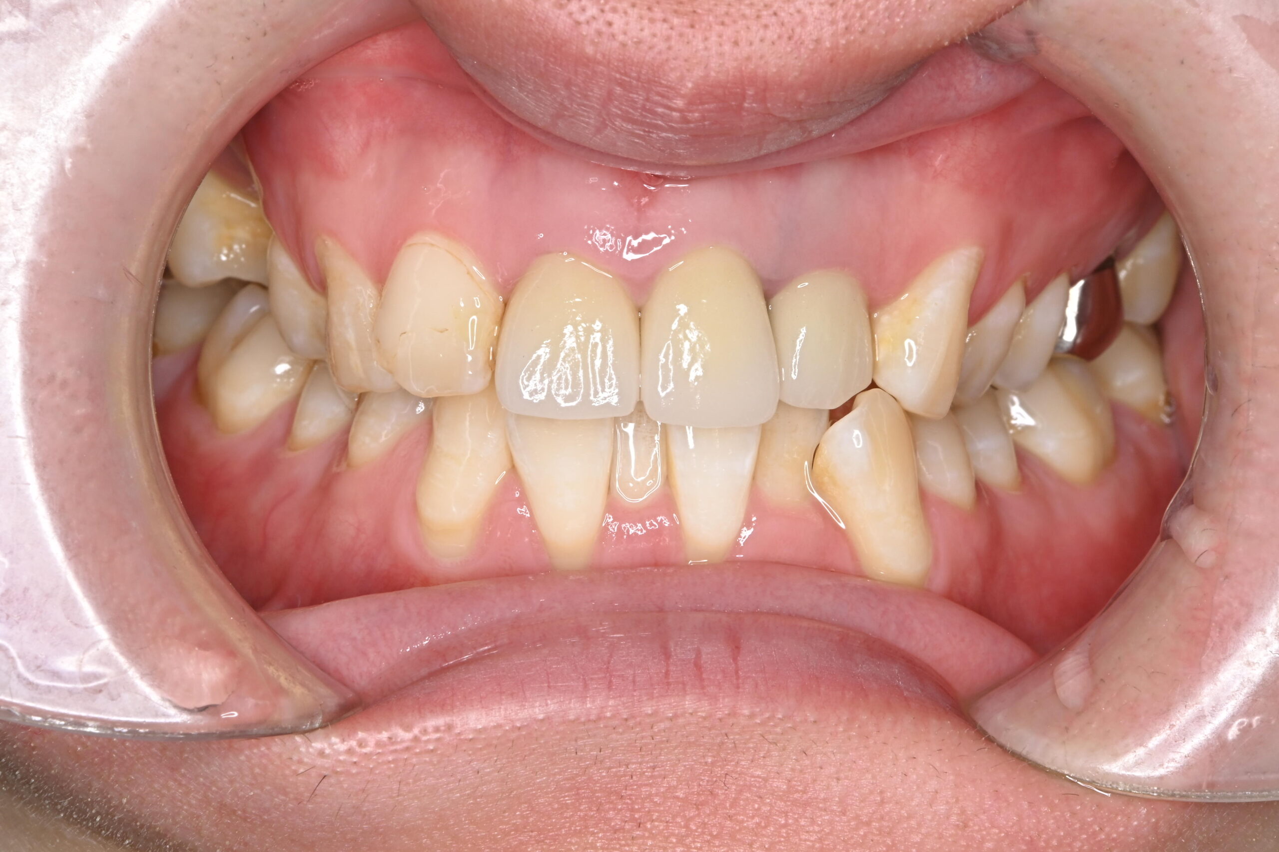
ジルコニアセラミックによる前歯3本の審美治療

年齢・性別

20代/男性

主訴

前装冠のブラックマージンが気になり、HPを見て「ぜひここでジルコニアセラミックにしたい」と来院

治療方法

ジルコニアセラミック(左上1,右上1・2 )

費用

ジルコニアセラミック 110,000円×3本
合計 :330,000円
*価格は税込です

メリット

  • ブラックマージンの心配がない
  • 自然なツヤと色合いがずっと保たれる

デメリット・
副作用

  • 特にセラミック部分に欠ける可能性がある
  • 高価である