8時半〜12時/13時〜16時
休:木・日・祝
再診で治療をご希望の方は電話でお問い合わせください
さいたま市大宮区・氷川参道の近くにある歯医者さん
土曜8:30〜12:00/13:00〜16:00
休診:木曜・日曜・祝日
問診票の事前記入で当日の受付がよりスムーズに!
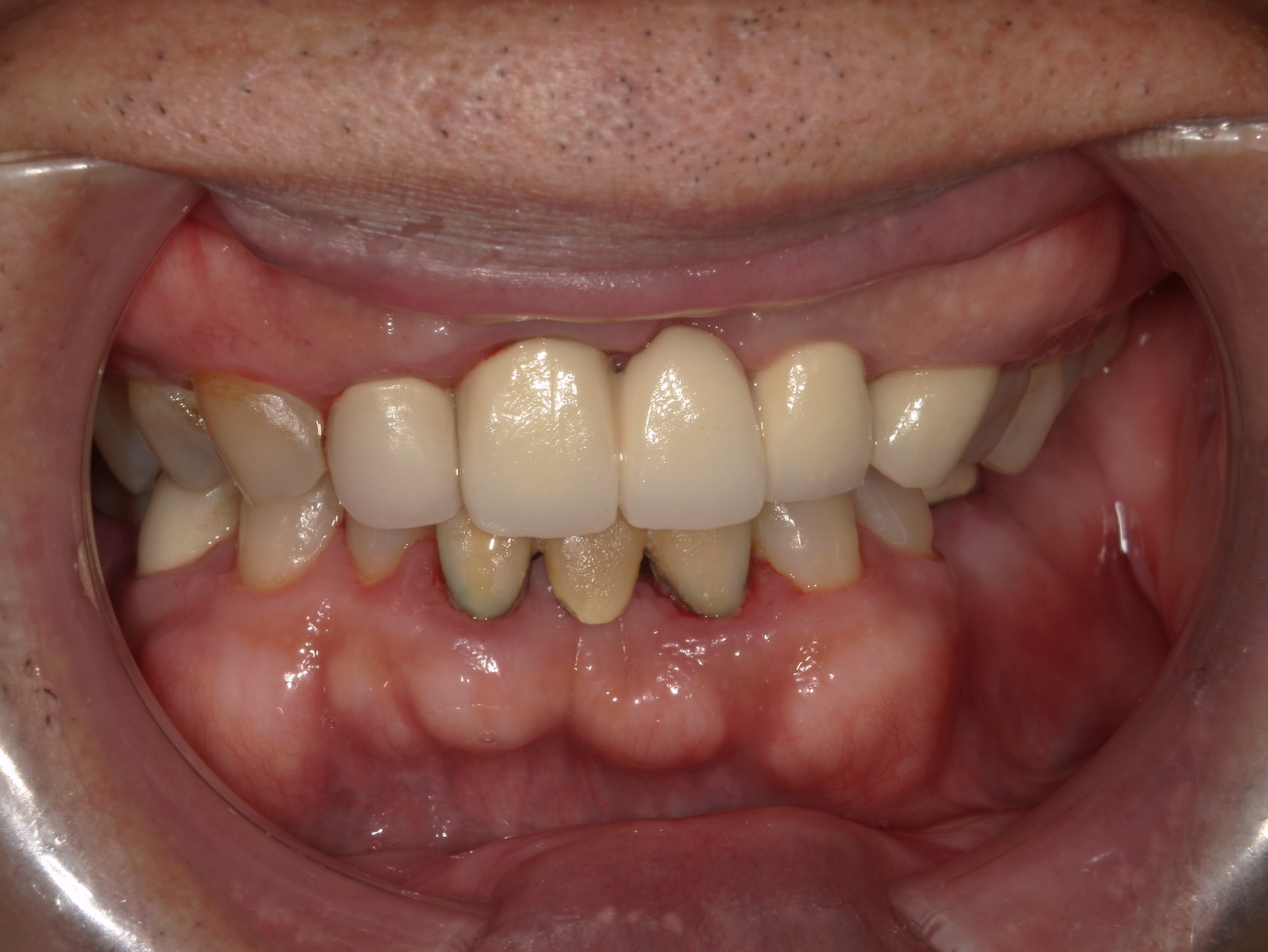
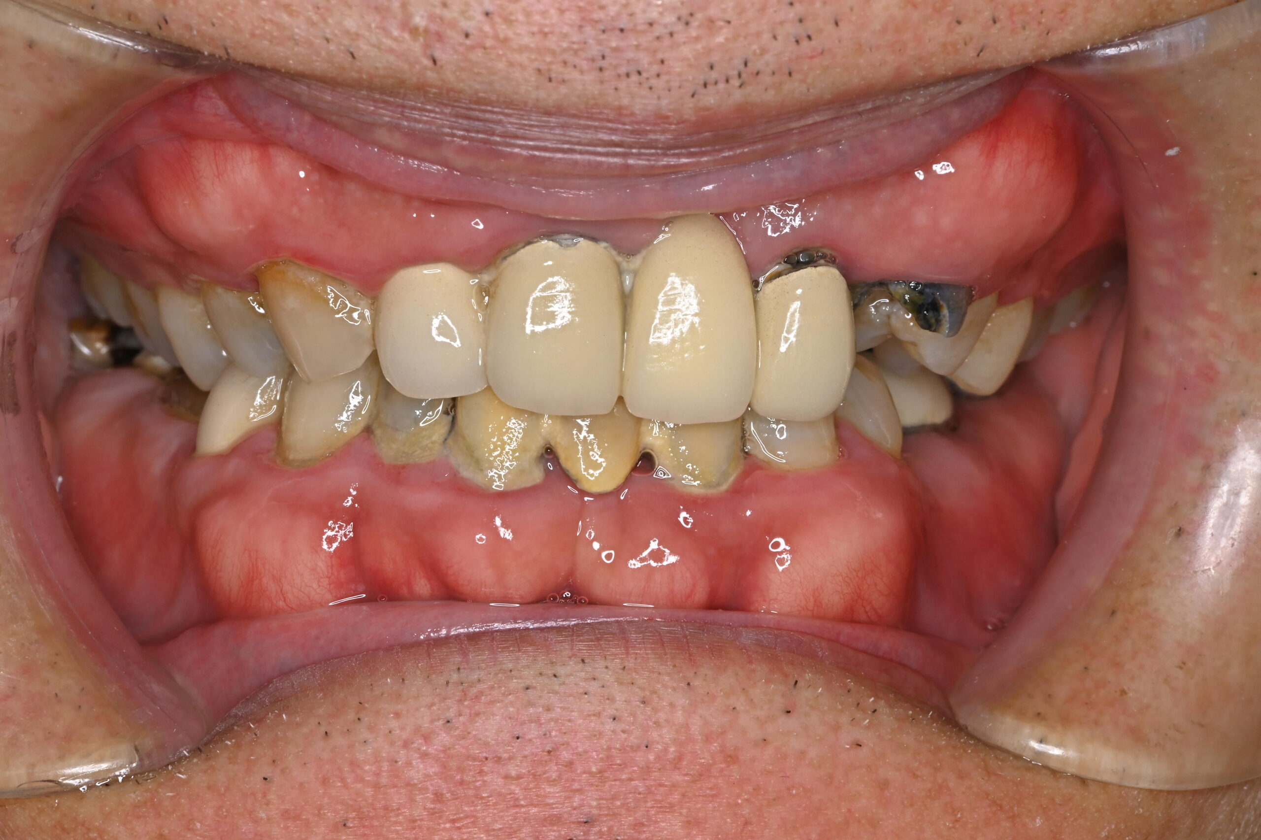
症例集
詰め物・被せ物治療
年齢・性別
60代/男性
主訴
上2~2のむし歯 元々メタルボンドが入っている 同じ白いものをご希望
治療方法
メタルボンド単冠で4本
費用
メタルボンド 88,000円×4本 合計 :352,000円 *価格は税込です
メリット
デメリット・副作用
RECRUITMENT
採用情報