さいたま市大宮区の歯医者 大宮なりた歯科医院の症例集

診療時間
9:0013:00
14:3014:1518:3018:00

8時半〜12時/13時〜16時

休:木・日・祝

ご予約・お問い合わせ
048-645-0005

再診で治療をご希望の方は
電話でお問い合わせください

さいたま市大宮区・氷川参道の近くにある歯医者さん

大宮なりた歯科医院

〒330-0803
埼玉県さいたま市大宮区高鼻町1丁目158
診療時間
9:0013:00
14:3014:1518:3018:00

土曜8:30〜12:00/13:00〜16:00

休診:木曜・日曜・祝日

ご予約・お問い合わせ
048-645-0005

再診で治療をご希望の方は
電話でお問い合わせください

問診票の事前記入で
当日の受付がよりスムーズに!

CASE

症例集

  • *
  • *

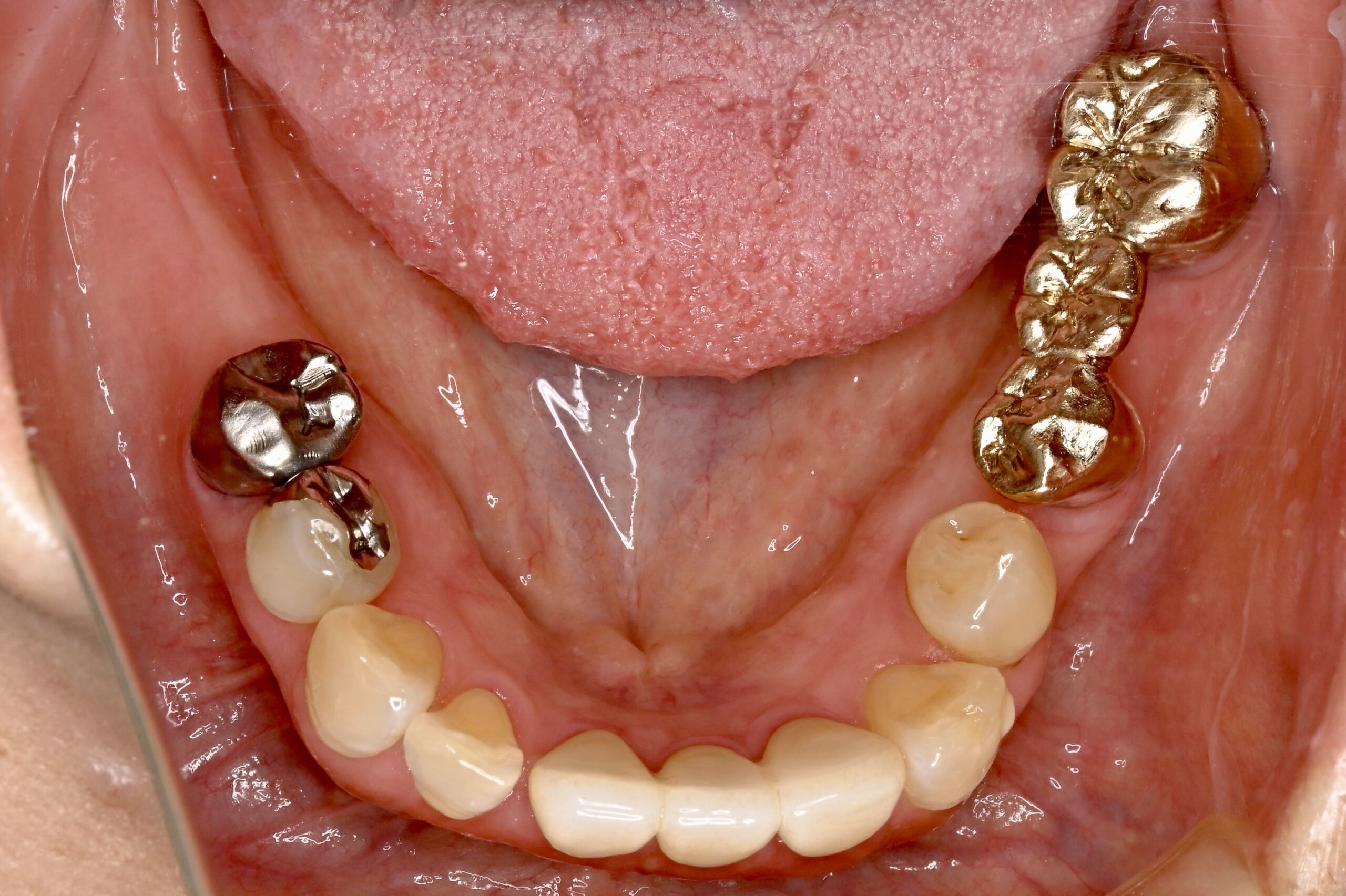
入れ歯

下顎のコンフォートノンクラスプ義歯

年齢・性別

60代/女性

主訴

抜歯せざるを得なかった部分の治療で、元々クラスプ(留め金)のない部分入れ歯を作ったが合わなかった。そのため入れ歯が動いて痛むので咬めず、安定剤を使用していた。動いて痛むことと、安定剤の気持ち悪さがストレスで、コンフォート義歯をご希望でご来院。

治療方法

コンフォートでノンクラスプ義歯

費用

140,800円
*価格は税込です

メリット

・義歯裏の歯肉に当たる面に柔らかいシリコンを貼ってあり、痛みが少なく固いものも噛みやすい

デメリット・
副作用

・義歯はいずれ内面が合わなくなる時がくる